Welcome to
Porcelain veneers Subiaco
Subiaco Dental Practice
130064472463
Subiaco
Dr {Dentist} Cosmetic Dentistry Cosmetic Dentistry (LVI) Crowns Dental Crowns Cadcam Cerec Crowns Bridges Tooth Whitening Veneers Implants Orthodontics Braces and More Childrens Dentistry Root Canal Treatment Endodontics White Fillings Dentures Neuromuscular Dentistry Migraines Migrane Headaches Prosthodontics Endodontic Adults and Braces Airways and Obstructive Sleep Apnea Art of Dentistry Cosmetic Options Damon Braces Dentistry Terms Explained Diastemas and Treatment Options Early Orthodontics May Mean Less Treatment Later Emergency Dentist Family Dentistry Frequently Asked Questions Invisalign Invisalign Clear Braces Invisible Braces LVICosmeticSpecialists Nervous Patient Porcelain Veneers Protecting Your Healthy Smile While Wearing Brace Show Dentists Smile Makeover Space Maintainers For Premature Tooth Loss Teeth Whitening Temporomandibular Jaw Disorders Tooth Coloured Braces Wearing and Caring For Your Braces Retainer Dental Prosthetists Maxillofacial & Oral Surgeons Sedation - Pain Free - Sleep All on 4 Implants Are You a Nervous Patient Childhood Orthodontics Jaw Disorders No Gap Dentists Sports Mouth Guards

Dental bridges Porcelain veneers Subiaco

Dental bridges is one of the options to replace missing teeth.  Dental bridges are very successful provided that the abutment teeth holding the bridge are and stay of good health.

What are dental bridges?

Dental bridges are fixed to specially prepared teeth.  These teeth are usually the teeth either end of a gap.  They are made form the same materials as dental crowns.  A dental bridge is used to bridge a gap (missing teeth) between healthy teeth. Teeth on either side of the gap are reshaped and reduced in size. These then act as anchors, or abutments. The dental bridge is attached to these anchor teeth - filling the missing tooth or teeth space.

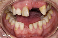
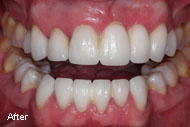
Dental Bridge Before After PicturesPictures and Images of Dental Bridge Before After

Benefits of dental bridges

Dental bridges are very quick, easy and painless to do.  They can stop teeth from drifting into gaps.  They will improve function, bite, chewing, cosmetics and help filling out the face where you have lost teeth.

When you may need a dental bridge?

Dental bridges are a safe option to replace missing teeth when you do not wish a partial denture or dental implant.

What are dental bridges made from?

Dental bridges are usually made of:

  • Metal alloy bonded to porcelain.  Good strong traditional dental bridges.
  • Porcelain bridges. For a natural appearance porcelain bridges or ceramic bridges give the best aesethic results.

At Subiaco Dentists our cosmetic dentists only use the best dental bridges.

How long do dental bridges last?

You need to look after dental bridges with the same level of care and attention as your natural teeth. Providing you maintain a good oral hygiene program, good diet and attend regular dental check-ups, a high quality dental bridge can last 10-15 years or longer.

A bridge, also known as afixed partial denture, is a dental restorationused to replace a missing tooth by joining permanently to adjacent teeth or dental implants.

Types of bridges may vary, depending upon how they are fabricated and the way they anchor to the adjacent teeth. Conventionally, bridges are made using the indirect method of restoration. However, bridges can be fabricated directly in the mouth using such materials as composite resin.

The bridge is fabricated by reducing the teeth on either side of the missing tooth or teeth by a preparation pattern determined by the location of the teeth and by the material from which the bridge is fabricated. In other words, the abutment teeth are reduced in size to accommodate the material to be used to restore the size and shape of the original teeth in a correct alignment and contact with the opposing teeth.

The materials used for the bridges include gold,porcelain fused to metal, or in the correct situation porcelain alone. The amount and type of reduction done to the abutment teeth varies slightly with the different materials used. The recipient of such a bridge must be careful to clean well under this prosthesis.

When restoring an edentulous space with a fixed partial denture that will crown the teeth adjacent to the space andbridgethe gap with a "dummy tooth", the restoration is referred to as abridge. Besides all of the preceding information that concerns single-unit crowns, bridges possess a few additional considerations when it comes to case selection and treatment planning, tooth preparation and restoration fabrication.

To make an appointment

Click Here

Or to ask our friendly staff a question please call: 130064472463

{Address}Subiaco